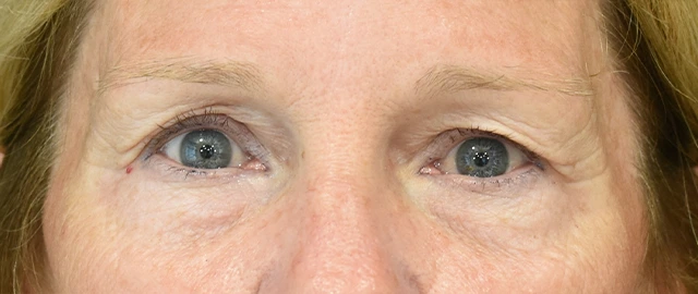
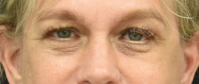
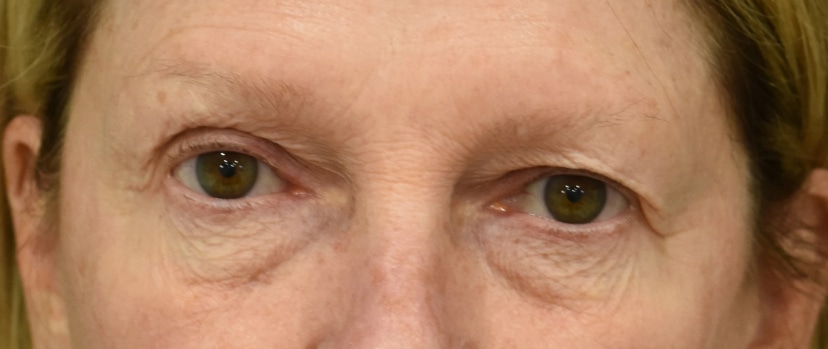
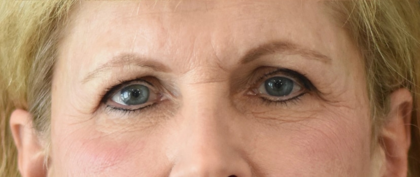
Blepharoplasty

Before & After Gallery

Contact Us